A BEAUTIFUL SMILE WITH

Invisible Braces

We offer a modern solution of straightening your teeth through clear braces, made specifically to fit your mouth.

Teeth are sometimes in an irregular position since their outgrowth and sometimes they move later in life. With clear braces we can treat various orthodontic irregularities and archive a beautiful smile without the discomfort from having metal on your teeth.

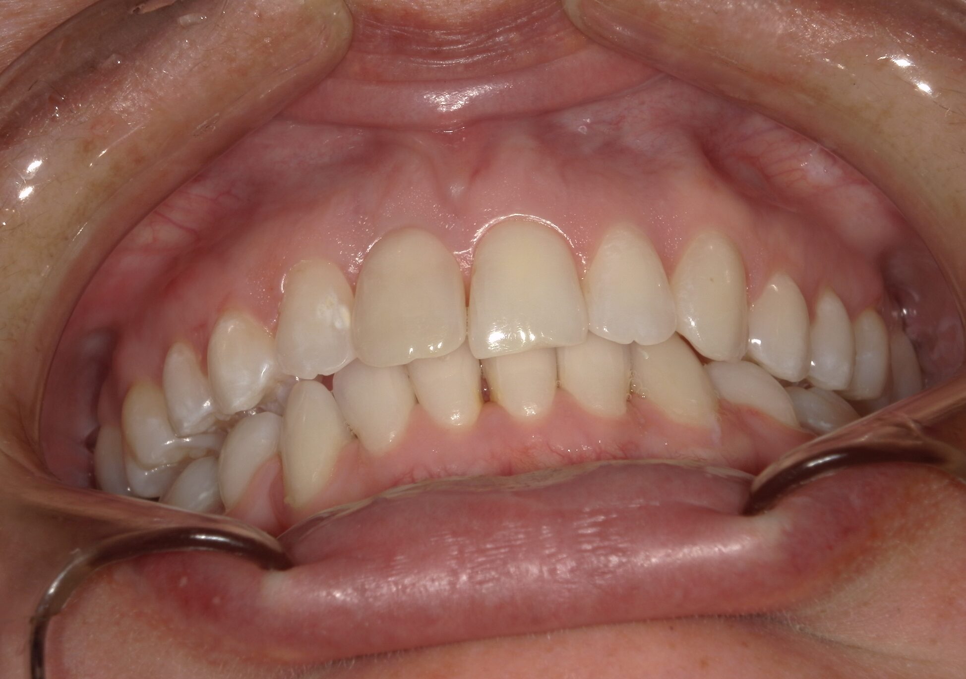
Before Invisalign
Crowding With C.III Tendency
After Invisalign
Clear Aligner Therapy

Correction of Class III Occluaion with Clear Aligner Therapy, completed by Dr. Russell McFarlane

  • Permanent solution
  • Effective treatment
  • Beautiful, straight teeth
  • Completly invisible
  • Easy to remove any time
  • Satisfying results
  • Easy cleaning & brushing
  • No diet restrictions
  • Comfortable plastic tray
In-Office 1-Hour Teeth Whitening
$620

We can generally improve the shade of your teeth by approximately 6 shades in about 1 hour. If the staining is intrinsic, it may take more than 1 visit. We can also make whitening trays.

PAYMENT OPTIONS

We accept all major forms of payment. If you have specific questions about insurance, contact our office so that we can help you navigate this area. Calling is often the easiest way to help determine the specifics.

512-454-2744


3624 N Hills Dr C-102

Austin, TX 78731

512-454-2744

Call us today!

Opening Hours

Mon - Th: 8:00 - 4:00

Appointment Booking

Book directly online

New Patient Forms

Fill out forms before your appointment.