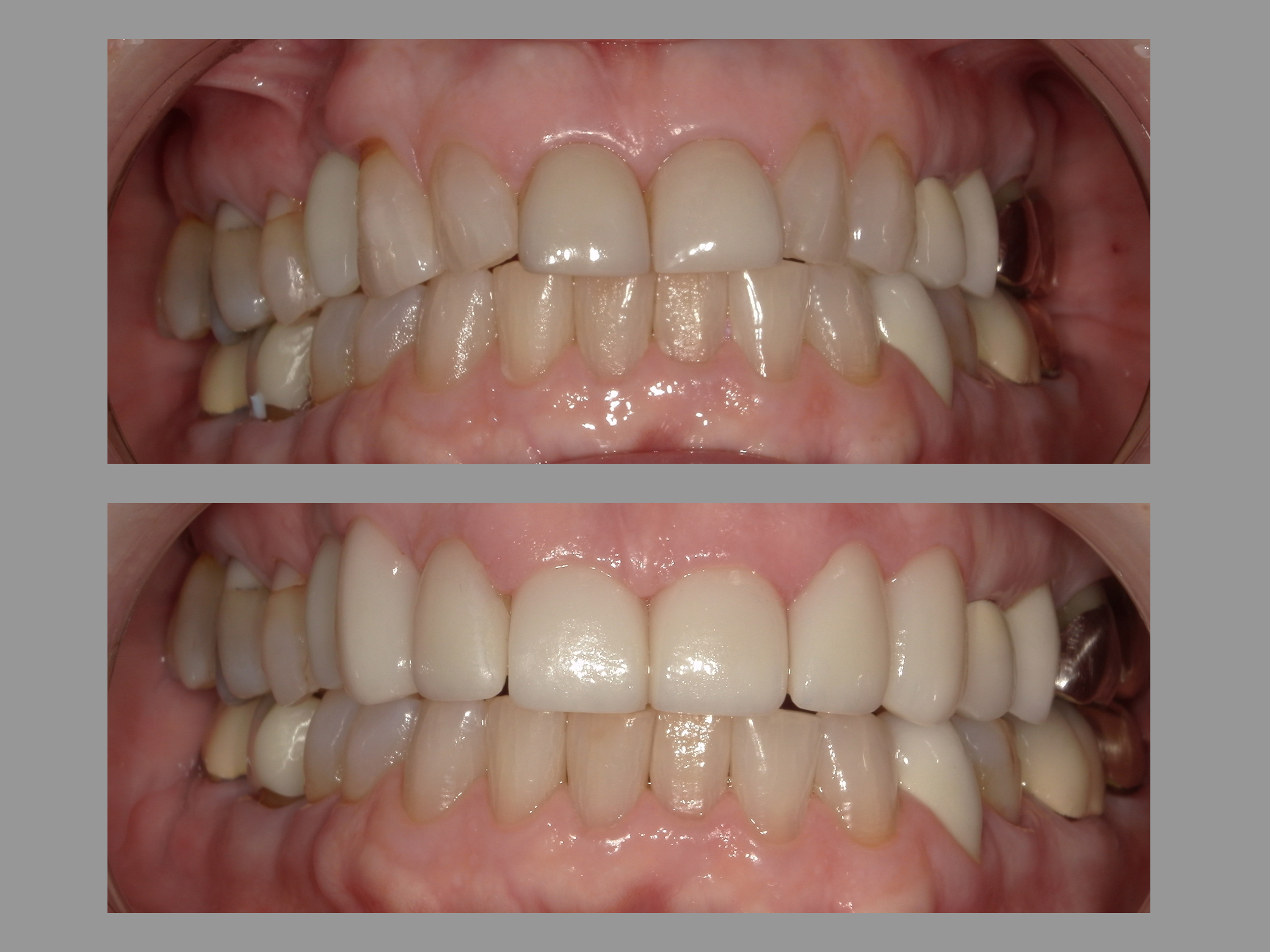
RESTORATIVE DENTISTRY
Restoring Oral Health For A Beautiful Smile
We work passionately toward creating the most youthful smiles for patients whose natural teeth require replacement.
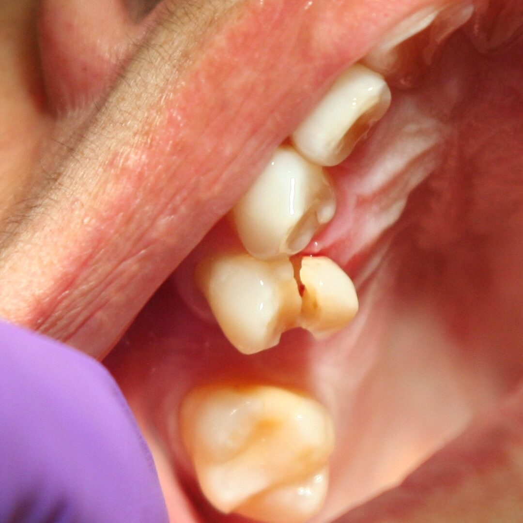
If your teeth are damaged in a way that makes it impossible to reconstruct them with fillings or you are missing one or more teeth, we can return the smile to your face as well as a strong bite and speaking ability with the use of advanced prosthetics.

Dental Implants
Replacing Missing TeethDentures
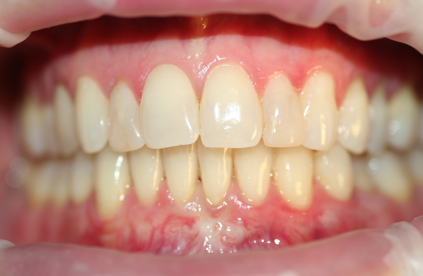
Returning Your SmileDental Crowns
Saving Natural TeethPorcelain Veneers
Perfecting Your SmileIn-Office 1-Hour Whitening
$644
Great way to whiten the teeth up to 6 shades in 1 sitting. Protecting the lips and gums, followed by a 1 hour treatment designed to get your teeth shining white. Learn more about Teeth Whitening.
PAYMENT OPTIONS
We accept all major forms of payment. If you have specific questions about insurance, contact our office so that we can help you navigate this area. Calling is often the easiest way to help determine the specifics.
512-454-2744
Request an Appointment
Fill out the form below and we will contact you during our working hours. If you have a dental emergency, please call 512-454-2744