Porcelain Veneers

A PICTURE PERFECT SMILE WITH

Porcelain Dental Veneers

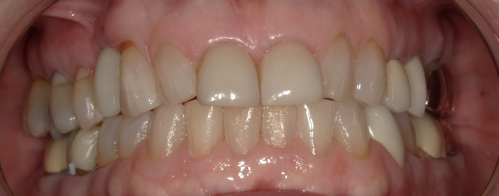
before veneers
Before
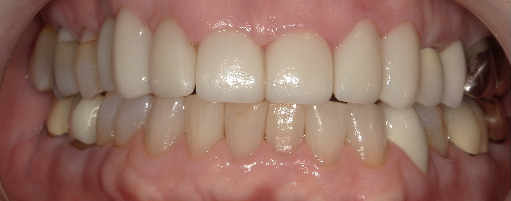
after veneers
After veneers

Veneers are an ideal cosmetic solution for everyone who desires a beautiful smile with minimal invasions into their teeth.

We can improve your facial appearance and boost your confidence with dental veneers by hiding your natural teeth behind a very thin layer of porcelain. Veneers can be used to change the shape, size, color and symmetry of the teeth and smile.

Natural Looking

Customized to match your teeth.

Pain Free

No pain is involved in the procedure.

Stain Resistant

Extremely resistant to stains.

Long Lasting

Porcelain veneers can last a lifetime.
In-Office 1-Hour Teeth Whitening
$644

During in-office whitening, we use a special block-out gel to protect the gums, and we use the state-of-the-art single-use Optragate to retract and protect the lips and cheeks. Then, we apply a 35-38% bleach gel directly to the teeth (3) times for 15-minutes, each, removing and reapplying the whitening gel between each set.

PAYMENT OPTIONS

We accept all major forms of payment. If you have specific questions about insurance, contact our office so that we can help you navigate this area. Calling is often the easiest way to help determine the specifics.

512-454-2744


3624 N Hills Dr C-102

Austin, TX 78731

512-454-2744

Call us today!

Opening Hours

Mon - Th: 8:00 - 4:00

Appointment Booking

Book directly online

New Patient Forms

Fill out forms before your appointment.