Before and After Complex Invisalign Case

10 Oct
Dr. McFarlane

Invisalign - Clear Aligner Therapy

This case required special attention because of the challenging root movements and space closures, after relieving the crowding. This took 3 years.

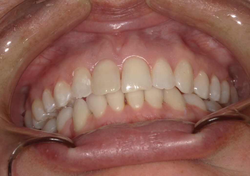
After Completed Invisalign

This case shows the teeth at the finish, centered along the midline. The teeth are straight and coincident where the incisal edges line up with the lip embrasure, and the canines are uprighted.

1. Are you ready for Invisalign (clear aligner therapy?)

When viewing complex cases like this one, you may be tempted to think it is easy. But, the reason that these cases, sometimes take years is because. There is more to it than, voila, before and after. The journey requires a high level of commitment. This case required extractions, elastics, and refinement.

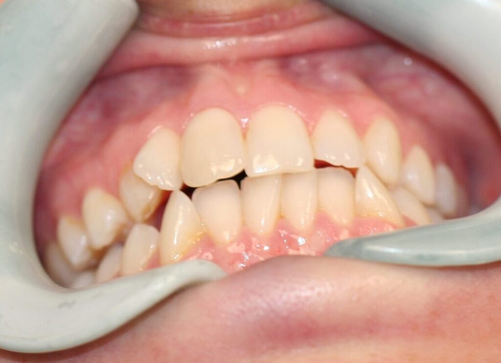
2. Before (Severe Crowding)

Before Invisalign

When a patient commits themselves to Invisalign, here are some of the other things that come up in complex cases: 1. This case required the extraction of a retained upper baby canine. 2. To resolve the lower crowding, especially due to the proclined canines, the lower first premolars had to be removed so that the canines would have a place to go. 3. Extensive use of buttons and elastics were required to move these teeth and correct their position. These types of movements take time, and require a lot of patience on the part of both the patient and the provider dentist.

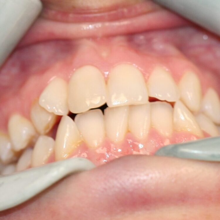
Before Invisalign

Before Invisalign.

After Invisalign

After Invisalign- the bite is fitting more ideally.

3. After Invisalign

After Invisalign (Comprehensive Orthodontics)

There are 2 main considerations when finishing an orthodontic case: esthetics, and function. Esthetically, the change in this case is incredible as the upper lateral incisor is no longer sticking out. Functionally, the patient has a settled bite. The bite closure in both the anteriors and posteriors is considerably improved. After 3 years, the patient finally has the smile that she has always wanted.

SCHEDULE A CONSULTATION.

Tags:
Share:

Comments are closed.

3624 N Hills Dr C-102

Austin, TX 78731

512-454-2744

Call us today!

Opening Hours

Mon - Th: 8:00 - 4:00

Appointment Booking

Book directly online

New Patient Forms

Fill out forms before your appointment.